media | January 11, 2026

Can a grey tooth go back white?

Gray teeth may not go back to their original color unless they're treated with whitening agents. If you don't get the results you want from at-home treatment, your dentist may recommend in-office bleaching or veneers.

How long does it take for a gray tooth to turn white?

A traumatized permanent tooth that turns dark usually means the tooth is dead and will need a root canal to save it. How long will it take? Baby teeth seem to take several months to lighten, usually around six months or so. It is kind of like a bruise inside the tooth.

Can a grey tooth be saved?

Most likely, yes. If your dentist diagnoses a necrotic pulp (or “dead tooth”), your treatment options will be either a root canal treatment to save the tooth, or an extraction to remove the tooth. Both options remove the dead tissue and prevent any spreading infection in your mouth.

Does a grey tooth go away?

Most of the time, a discoloured baby tooth will get better on its own. As long as the tooth doesn't become infected, it will fall out when the child gets older, and a healthy adult tooth will grow in its place.

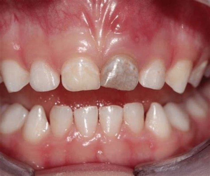
What happens when your teeth go grey?

When only one or a few teeth turn gray or blue, it might be because the teeth have died. Though you might think of all teeth as lifeless, at their center are living pulp and nerves. If trauma or infection has caused damage, the pulp and nerves can die, and the tooth turns dark pink, gray, or black.

Do You Have a Dark Tooth? Here's the Fix!

Why is my tooth turning grey but doesn't hurt?

Reasons Teeth Turn Grey

It may be a sign of a serious underlying condition that requires immediate dental care. So, if one of your teeth has turned dark all of a sudden, it means that the nerve inside the tooth is dying. The most common reason is previous trauma to that tooth.

How fast can a tooth turn grey?

If a milk tooth receives a hard knock, then it may discolour and start to turn grey, yellow or black in colour. This often happens two to three weeks after the initial accident.

Can you fix a discolored tooth?

Dental Bonding

This resin can be molded and shaped to fit whatever tooth has discoloration. The resin can also be color-matched to the rest of your smile or made to be as white as you'd like. Dental bonding can be done in a quick visit to your dentist. The surface of your tooth is prepared for the resin to adhere to.

Is a grey tooth a cavity?

A Yellow Or Grey Colored Cavity

After the first stage of demineralization, the bacteria in your mouth continues to break down your tooth enamel even further. At this point, you might notice a yellow or grey color to your cavities.

Is a discolored tooth dead?

A dying tooth may appear yellow, light brown, gray, or even black. It may look almost as if the tooth is bruised. The discoloration will increase over time as the tooth continues to decay and the nerve dies. If you experience any symptoms of a dying tooth, it's important to see your dentist right away.

Why has my front tooth gone grey?

Tooth Trauma

Anything that cuts off blood flow to the tooth can lead to the tooth going gray. The tooth may also have gray stains from mental distress. Trauma to the tooth, however, may not result in a change in color for months or even years.

Is it too late to save my tooth?

People can go weeks, months, and even years without taking care of their teeth but that doesn't mean that it is too late to start. Although neglecting your teeth for long periods can cause irreparable damage, this doesn't mean that all hope is lost.

Why is my daughter's tooth turning grey?

Sometimes, kids' teeth appear gray temporarily. This slight change in color can happen because your child's mouth is constantly growing and changing. Some kids teeth discoloration could happen with growth or due to an accident. But serious discoloration is not something you should take lightly.

How do you fix grey teeth?

You can use at-home bleaching solutions, laser teeth whitening treatments, or whitening gels, strips, and toothpastes to improve your teeth's appearance. However, if your teeth are discolored due to being exposed to tetracycline at a young age, your teeth may bleach unevenly.

Can tooth decay be reversed?

Decayed Enamel Can't be “Re-Grown”

But as of yet, it's physically impossible. Once a tooth has a physical cavity (opening or hole) inside of it, there is no feasible way to help the enamel grow back on your own. Instead, the cavity will gradually worsen, due to the bacterial infection inside of the tooth structure.

Can a tooth come back to life?

Can a dead tooth be saved? It is not possible to bring a dead tooth back to a normal, healthy condition. However, the tooth structure can be saved if treatment is sought early. To save a tooth that has been badly damaged, a dentist will perform root canal treatment.

Can enamel regrow?

Tooth enamel is the hardest tissue in the body. Problem is, it's not living tissue, so it can't be naturally regenerated. Unfortunately, you can't regrow it artificially, either -- not even with those special toothpastes.

Can a discolored tooth be whitened?

Discoloration can also happen that a tooth that appeared normal will begin to discolor many months (or years) after a root canal has been performed. In either situation, it may be possible to whiten your tooth with a procedure called internal bleaching or even to restore with a beautiful porcelain covering.

Why is one tooth darker than the rest?

Sometimes, a tooth may appear more discolored than the surrounding teeth because it has become stained. Tooth staining can occur due to the foods and drinks we consume and certain medications we take. If one tooth is slightly discolored, it may simply mean the tooth has a stain.

Can you whiten just one tooth?

One of the teeth whitening systems on the market that can work on a single tooth is a whitening toothpaste that is applied to the tooth every day. Home based methods are simply not designed to work on a single tooth, something that specific has to be done by a dentist.

Why does a tooth turn dark?

Tooth decay starts as bright white demineralized spots, but these turn dark as the decay progresses into cavities. The darkness might only be at the point where there's decay. However, when the decay worsens, the entire tooth can look darker than its neighbor.

Why does my tooth look see through?

Transparent teeth are just one sign of enamel erosion, which is caused by: Acidic foods and drinks. Consuming highly acidic foods and beverages regularly may speed up enamel erosion, leading to transparent teeth.

What is a dead tooth?

A dead tooth occurs when those tissues are damaged and the blood supply to the tooth is lost. It may be painful or may cause no symptoms at all. A dead or dying tooth should be treated quickly because it can become infected and have negative effects on the jaw, gums and other teeth.

At what point can a tooth not be saved?

Severe Tooth Infection Is Irreversible

We cannot save a tooth because this type of infection is different. The tissue in your tooth (dental pulp) is infected and inflamed. Antibiotics cannot adequately reach the tissue and clear the problem. The tissue will not heal.

What does a rotten tooth look like?

If the process of tooth decay is allowed to continue, enamel will break down further. You may notice that a white spot on a tooth darkens to a brownish color. As enamel is weakened, small holes in your teeth called cavities, or dental caries, can form. Cavities will need to be filled by your dentist.