investigative reporting | January 17, 2026

Can diabetes cause oral hairy leukoplakia?

A case of subclinical OHL and candidiasis was identificated in a DM patient by cytopathologic analysis. PCR results demonstrated EBV-DNA in 65% of the pregnant women, in 35% of DM patients, and in 20% of the healthy individuals. We concluded that DM patients can develop OHL with a low prevalence.

What cause oral hairy leukoplakia?

Hairy leukoplakia results from infection with the Epstein-Barr virus (EBV). Once you've been infected with EBV, the virus remains in your body for life.

Does hairy leukoplakia come and go?

Hairy leukoplakia

Once you get this virus, it remains in your body permanently. EBV is usually dormant. However, it can cause hairy leukoplakia patches to develop at any time. Outbreaks are more common in people with HIV or other immune problems.

When does oral hairy leukoplakia appear?

The majority of patients with oral hairy leukoplakia (OHL) tend to have significant immunosuppression at the time of diagnosis. Oral hairy leukoplakia occurs relatively soon after HIV seroconversion, typically before AIDS. Median CD4 count when oral hairy leukoplakia is first detected is 235-468/µL.

What is the most common location of hairy leukoplakia?

Oral hairy leukoplakia is a condition triggered by the Epstein-Barr virus. It happens most often in people whose immune systems are very weak. It is most often seen in people with HIV. The condition causes white patches on the tongue.

Oral Manifestations of HIV Disease | PrimaryCareMatters OnDemand Webinar

Is hairy leukoplakia benign?

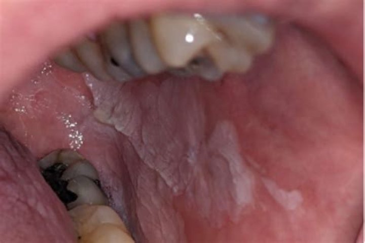
Oral hairy leukoplakia is a benign, asymptomatic, white, hyperkeratotic lesion affecting primarily the lateral border of the tongue, unilaterally or bilaterally (Figures ​1 and ​2); but rarely it may occur elsewhere in the mouth.

Does oral hairy leukoplakia spread?

PVL is usually diagnosed late in the development of leukoplakia, as it takes time to spread to multiple sites. It also has a high rate of recurrence. There is also a condition called oral hairy leukoplakia, which also happens as a result of having the Epstein-Barr virus, which stays in your body throughout your life.

Is hairy leukoplakia precancerous?

In patients with HIV infection, the development of OHL may herald severe HIV disease and the rapid onset of AIDS, but despite its title, OHL is not regarded as premalignant and is unlikely to give rise to oral squamous cell carcinoma.

Is hairy leukoplakia curable?

Treatment for Oral Hairy Leukoplakia

Leukoplakia patches can be removed with a scalpel, lasers, or freezing them off, but no treatment is necessary for oral hairy leukoplakia. However, treatment for the conditions causing oral hairy leukoplakia can help the white fuzzy patches in your mouth to go away.

What can be mistaken for hairy leukoplakia?

Hairy leukoplakia

It's often mistaken for oral thrush, an infection marked by creamy white patches that can be wiped away, which is also common in people with a weakened immune system.

Does oral hairy leukoplakia hurt?

It causes fuzzy white patches, often on the sides of the tongue, that look folded or ridged. They're not painful and cannot be brushed or scraped away. Antiviral medicines, or treatments applied directly to the patch, may be prescribed to treat hairy leukoplakia.

Which individuals are most at risk for developing oral hairy leukoplakia?

Oral hairy leukoplakia is most common in people with HIV. It may be a warning that your HIV has worsened. It is a sign of a weak immune system. If you have HIV and are exposed to EBV, you are at great risk of getting oral hairy leukoplakia.

Are all white patches in mouth cancerous?

Red or white patches in the mouth or throat

These patches are not cancer, but if left untreated they may lead to cancer. Red and white patches in the mouth can also be caused by a fungal infection called thrush.

How do you know if leukoplakia is cancerous?

A biopsy is the only way to know for certain if an area of leukoplakia or erythroplakia has dysplastic (pre-cancer) cells or cancer cells.

Can leukoplakia be malignant?

Oral leukoplakia is one of the most common potentially malignant disorders. Right diagnosis of potentially malignant disorders may help to prevent these lesions from malignant transformation.