health | January 11, 2026

How common is an abnormal brain MRI?

Katzman et al. reported a prevalence of 1.1% for clinically serious abnormalities, such as brain tumors, in a retrospective study of a heterogeneous population of volunteers, 3 to 83 years old, who were participating in a variety of research studies.

Are brain abnormalities common?

BOSTON (Reuters) - Thirteen percent of healthy adults were found to have some type of undiagnosed -- but likely harmless -- abnormality in the brain, according to a Dutch study published on Wednesday.

What can cause an abnormal brain MRI?

Abnormal results may be due to:

  • Abnormal blood vessels in the brain ( arteriovenous malformations of the head )
  • Tumor of the nerve that connects the ear to the brain ( acoustic neuroma )
  • Bleeding in the brain.
  • Brain infection.
  • Brain tissue swelling.
  • Brain tumors.
  • Damage to the brain from an injury.

What percentage of brain MRIS are normal?

Results: Eighty-two percent of the MRI results were normal. Of the 18% demonstrating incidental abnormal findings, 15.1% required no referral; 1.8%, routine referral; 1.1%, urgent referral; and 0%, immediate referral.

What does an abnormality on the brain mean?

Definition. The term brain abnormalities, refers to any atypical feature in brain functioning, structure or biochemical levels. The etiologies of abnormalities differ widely, from genetic, parinatal compactions, developmental and traumatic disorders, toxins and diseases of the mother and/or child.

RFS AI Journal Club : AI System Approaching Neuroradiologist-level Differential Diagnosis Accuracy

What is the most common brain abnormality?

There are different brain disorders that can be caused by illness, genetics, or injury. Each comes with different risks, diagnoses, and treatment.
...
Some of the most frequently diagnosed mental health disorders are:

  • depression.
  • anxiety.
  • bipolar disorder.
  • post-traumatic stress disorder (PTSD)
  • schizophrenia.

What are some examples of brain abnormalities?

Types of Brain Disorders

  • Alzheimer's Disease.
  • Dementias.
  • Brain Cancer.
  • Epilepsy and Other Seizure Disorders.
  • Mental Disorders.
  • Parkinson's and Other Movement Disorders.
  • Stroke and Transient Ischemic Attack (TIA)

How often are MRIS wrong?

Body MRI scans are used to help diagnose or monitor treatment for a variety of conditions within the chest, abdomen, and pelvis. But recent research found that nearly 70% of all body MRI interpretations have at least one discrepancy.

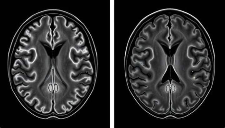
Can white matter lesions in the brain be nothing?

Studies have found that white matter lesions appear in some degree on brain scans of most older adults but less often in younger people. White matter lesions are among the most common incidental findings—which means the lesions have no clinical significance—on brain scans of people of any age.

How common are incidental findings?

Incidentalomas were defined differently across the systematic reviews. CT of the chest resulted in incidentalomas reported in 45% of patients (95% confidence interval [CI], 36% to 55%). The relatively new CT colonoscopy resulted in incidental findings in 38% of patients (21% to 57%).

Can you tell if a brain tumor is cancerous from an MRI?

An MRI with contrast dye is the best way to see brain and spinal cord tumors. Using MRI, doctors can sometimes tell if a tumor is or isn't cancer. MRI can also be used to look for signs that cancer may have metastasized (spread) from where it started to another part of the body.

How common are brain lesions?

They are not common, but they are life threatening. Brain abscesses often occur after an infection, usually in a nearby area, such as an ear, sinus, or dental infection. They can also appear after injury or surgery to the skull. Read more about the causes of abscesses.

What does white matter changes on brain MRI mean?

White matter disease is commonly detected on brain MRI of aging individuals as white matter hyperintensities (WMH), or 'leukoaraiosis.” Over the years it has become increasingly clear that the presence and extent of WMH is a radiographic marker of small cerebral vessel disease and an important predictor of the life- ...

What were your first signs of a brain tumor?

Symptoms

  • New onset or change in pattern of headaches.
  • Headaches that gradually become more frequent and more severe.
  • Unexplained nausea or vomiting.
  • Vision problems, such as blurred vision, double vision or loss of peripheral vision.
  • Gradual loss of sensation or movement in an arm or a leg.
  • Difficulty with balance.

Can MRI detect brain abnormalities?

MRI can be used to detect brain tumors, traumatic brain injury, developmental anomalies, multiple sclerosis, stroke, dementia, infection, and the causes of headache.

How do you know something is wrong with your brain?

Loss of side vision. Balance or coordination problems. Twitching muscles or muscle spasms. Numbness or weakness in an arm or leg or one side of the body.

How common are white matter lesions?

White-matter lesions

They are highly frequent in the elderly population. In people aged 60–70 years the prevalence is about 87%, whereas the prevalence at the age of 80–90 years even approaches 100% (de Leeuw et al., 2001; Launer, 2004).

Is white matter on brain serious?

Originally, white matter disease was considered a normal, age-related change. But over the last decade, medical experts have come to understand that the presence of large areas of disease in the white matter of the brain are associated with cognitive decline and dementia in patients.

Can stress cause white matter lesions?

Increased exposures to stressful events are associated with a corresponding increase in the progression of white matter hyperintensities.

How accurate are brain scans?

Researchers expected to find false positives—that is, results showing that people's brains were not at rest—about five percent of the time. But that's where the expected results broke down: Rather than showing a five percent chance of finding a false positive, the analysis revealed a 70 percent chance.

Why would a second MRI be needed?

In particular an MRI second opinion is particularly important for conditions where diagnosis demands a high level of radiology skill and when a mis-diagnosis may result in more invasive treatment or an irreversible treatment that may be unnecessary.

Can a MRI be misread?

Yes, it is possible. In fact, a radiologist can misread an X-ray, mammogram, MRI, CT, or CAT scan. And it happens more often than you might think.

What are the most common neurological disorders?

Some of the most common are epilepsy, Alzheimer's and other dementias, strokes, migraine and other headaches, multiple sclerosis, Parkinson's disease, neurological infections, brain tumors, traumatic conditions of the nervous system such as head injuries and disorders caused by malnutrition.

What causes abnormalities in brain development?

Most brain malformations begin long before a baby is born. Something damages the developing nervous system or causes it to develop abnormally. Sometimes it's a genetic problem. In other cases, exposure to certain medicines, infections, or radiation during pregnancy interferes with brain development.

What causes abnormal brain structure?

The structural brain abnormalities are likely to be the result of aberrant neuronal or glial proliferation, reflected, respectively, in site-specific neuronal size and number or in degree of myelination. Such abnormalities may be detectable by morphometric analysis of the brain.