science | January 19, 2026

How long do allergic rashes last?

The rash usually develops within minutes to hours of exposure and can last two to four weeks. Signs and symptoms of contact dermatitis include: A red rash.

How long does it take for an allergic skin reaction to go away?

A skin reaction from allergic contact dermatitis will go away, but usually takes from 14 to 28 days. If you come in contact with something that can cause allergic contact dermatitis (like poison ivy), scrub the skin with soap and water right after.

Do allergy rashes go away on their own?

Articles On Skin Allergies. Skin allergy symptoms like redness, itching, and swelling often go away on their own in a week or two, with or without treatment. You can do some things to make it more comfortable in the meantime.

How do you tell if a rash is an allergy?

Signs of Allergies

A rash may be painful or itchy, and it might make your skin red, bumpy, dry, cracked, blistered, swollen or warm.

How do you get rid of a rash from an allergic reaction?

Try these:

  1. Hydrocortisone cream.
  2. Ointments like calamine lotion.
  3. Antihistamines.
  4. Cold compresses.
  5. Oatmeal baths.
  6. Talk to your doctor about what's best for your specific rash. For example, corticosteroids are good for poison ivy, oak, and sumac. They can prescribe stronger medicines if needed, too.

Hives | Urticaria-Causes,Symptoms,Treatment | Skin Rash | Allergy - Dr.Rasya Dixit | Doctors' Circle

How can you tell if a rash is serious?

If you have a rash and notice any of the following symptoms, see a board-certified dermatologist or go to the emergency room immediately:

  1. The rash is all over your body. ...
  2. You have a fever with the rash. ...
  3. The rash is sudden and spreads rapidly. ...
  4. The rash begins to blister. ...
  5. The rash is painful. ...
  6. The rash is infected.

What are the 4 types of allergic reactions?

The four types of hypersensitivity are:

  • Type I: reaction mediated by IgE antibodies.
  • Type II: cytotoxic reaction mediated by IgG or IgM antibodies.
  • Type III: reaction mediated by immune complexes.
  • Type IV: delayed reaction mediated by cellular response.

Where do allergy rashes appear?

With a food sensitivity it may appear around your mouth, neck, or face — basically anywhere food has come into contact with your skin. It's also possible to have a rash on other parts of your body.

Are allergy rashes itchy?

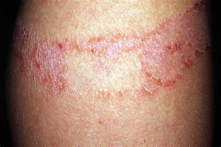
A skin allergy, or allergic contact dermatitis, produces a red, itchy rash that sometimes comes with small blisters or bumps. The rash arises when the skin comes in contact with an allergen, a usually harmless substance that the immune system attacks.

What is the fastest way to treat an allergic reaction rash?

Topical creams and ointments, such as hydrocortisone or calamine lotion, to calm and soothe the affected skin. Antihistamine medication to calm down the rash and reduce itching caused by hives. Topical corticosteroid creams, foams, and ointments to help to relieve itching and reduce inflammation caused by eczema.

What is the fastest way to get rid of a rash?

Here are some relief measures to try, along with information about why they might work.

  1. Cold compress. One of the fastest and easiest ways to stop the pain and itch of a rash is to apply cold. ...
  2. Oatmeal bath. ...
  3. Aloe vera (fresh) ...
  4. Coconut oil. ...
  5. Tea tree oil. ...
  6. Baking soda. ...
  7. Indigo naturalis. ...
  8. Apple cider vinegar.

When should I go to the doctor for a rash?

If your rash occurs with crust, oozing or pus, pain in the affected area, fever, swelling in other parts of the body, dizziness, trouble breathing, vomiting, or a stiff neck, you need to see your doctor quickly. These can be signs of a more serious illness.

How do I get my skin back to normal after allergic reaction?

Bathe with cool or lukewarm water and gentle, fragrance-free cleansers. You can also take soothing colloidal oatmeal baths to help relieve symptoms. Immediately after bathing, use a gentle, hypoallergenic moisturizing cream to soothe skin. Use an over-the-counter corticosteroid cream on the irritated skin twice a day.

What do allergic reactions look like?

a raised, itchy, red rash (hives) swollen lips, tongue, eyes or face. tummy pain, feeling sick, vomiting or diarrhoea. dry, red and cracked skin.

What do bumps from an allergic reaction look like?

What Are Hives? Hives are red raised bumps or welts on the skin. Hives (or urticaria) is a common skin reaction to something like an allergen (a substance that causes allergies). The spots can appear anywhere on the body and can look like tiny little spots, blotches, or large connected bumps.

How do I identify a rash?

What Are Symptoms of Skin Rash?

  1. Itching.
  2. Skin redness.
  3. Flaking skin.
  4. Dry, scaly, or crusted skin that can become thick and leathery from scratching.
  5. Small, fluid-filled blisters that may ooze when scratched.
  6. Infection of the areas of broken skin.

Can you suddenly become allergic to something?

Allergies can develop at any point in a person's life. Usually, allergies first appear early in life and become a lifelong issue. However, allergies can start unexpectedly as an adult. A family history of allergies puts you at a higher risk of developing allergies some time in your life.

What is the most common allergic reaction?

Pollen. Pollen allergies are one of the most common allergies in the world. Tens of millions of Americans suffer from Pollen allergies.

What happens to your body when you have an allergic reaction?

When a harmless substance such as dust, mold, or pollen is encountered by a person who is allergic to that substance, the immune system may over react by producing antibodies that "attack" the allergen. The can cause wheezing, itching, runny nose, watery or itchy eyes, and other symptoms.

Do rashes get worse before they get better?

The initial rash may be relatively mild,” he says. "And each subsequent time you're exposed, it can actually get worse and worse until it reaches a maximum severity.”

What makes a rash worse?

peroxide or bleach. These things can make the rash worse, and keep it from healing. Don't use light lotions. They spread easily but do not provide much needed moisture compared to cream, oil, or petroleum based products.

When should I be concerned about an allergic reaction?

An allergic reaction becomes more serious and is considered a medical emergency when any of the signs or symptoms are particularly severe, such as loss of consciousness or difficulty breathing, or if different parts or systems of the body are involved, such as having the combination of hives and vomiting, Dr.

What are the 5 types of rashes?

Rash 101: The 5 Most Common Types of Skin Rashes

  • Contact Dermatitis.
  • Shingles.
  • Swimmers Itch.
  • Pityriasis Rosea.

What does a viral rash look like?

The characteristics of viral rashes can vary greatly. However, most look like splotchy red spots on lighter skin or purplish spots on darker skin. These spots might come on suddenly or appear gradually over several days. They can also appear in a small section or cover multiple areas.