health | January 06, 2026

Is a heart CT scan worth it?

Many community clinics advertise coronary artery calcium scans, also known as heart scans, to assess the risk of heart attack. There is no evidence that these scans provide any benefit, and they are of questionable quality.

Why would a doctor order a heart CT scan?

Your doctor may order a heart CT scan to look for certain conditions, including: congenital heart disease, or birth defects in the heart. buildup of a hard substance known as lipid plaque that may be blocking your coronary arteries. defects or injury to the heart's four primary valves.

Can a CT scan show heart problems?

There are several types of CT scans used in the diagnosis of heart disease, including: Calcium-score screening heart scan. Coronary CT angiography (CTA) Total body CT scan.

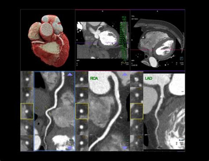
Can a heart CT scan detect blocked arteries?

CT Scans Versus Stress Tests To Detect Clogged Arteries

According to a study by Johns Hopkins University¹, research shows that CT scans are effective for detecting the risk of developing clogged arteries. The study compared people who received CT scans to people who got stress tests.

What is the best test to detect heart blockage?

A CT scan of the heart can show calcium deposits and blockages in the heart arteries. Calcium deposits can narrow the arteries. Sometimes dye is given by IV during this test. The dye helps create detailed pictures of the heart arteries.

Having a Cardiac CT Scan in Hospital

Is a heart scan better than a stress test?

Noninvasive CT scans are significantly more effective at identifying coronary artery disease (CAD) in patients with chest pain than commonly performed exercise stress tests, according to a recent head-to-head comparison study.

Can a CT scan detect plaque in arteries?

A heart computerized tomography (CT) scan, also called a calcium-score screening heart scan, is used to find calcium deposits in plaque of people with heart disease. They're an effective way to spot atherosclerosis before symptoms develop.

What does a heart CT scan look for?

Your healthcare provider may want you to have a cardiac CT scan for various reasons, including: To evaluate the cause of chest pain and shortness of breath. To check your heart arteries for calcium or plaque buildup, narrowing or blockages. To assess your heart valves.

Which is better CT scan or angiogram?

It was found that CT angiogram identified 85% of patients with significant stenoses and 90% of patients with CAD accurately. The authors concluded that while CT angiography was not ready to replace conventional angiograms entirely, the more modern procedure was nearly as accurate as the traditional angiogram.

Will a chest CT scan show heart problems?

Screening tests for two of the most common forms of cancer involve detailed x-ray images of the chest. Growing evidence suggests that these tests — chest computed tomography (CT) scans and mammograms — may also offer clues about a person's risk of heart disease.

How long does heart CT scan take?

The test will take about 30 to 60 minutes. Most of this time is spent getting ready for the scan. The actual test takes a few minutes.

What tests can show heart problems?

Common medical tests to diagnose heart conditions

  • Blood tests. ...
  • Electrocardiogram (ECG) ...
  • Exercise stress test. ...
  • Echocardiogram (ultrasound) ...
  • Nuclear cardiac stress test. ...
  • Coronary angiogram. ...
  • Magnetic resonance imaging (MRI) ...
  • Coronary computed tomography angiogram (CCTA)

How accurate is a CT angiogram of the heart?

Overall, non-invasive CT angiograms accurately detected or ruled out artery blockages in 91 percent of patients, compared with 69 percent for stress testing.

Should I have a CT angiogram?

Why might I need computed tomography angiography? You may need this medical test if you have an abnormality that involves the blood vessels of your brain, heart, lungs, kidneys, or other parts of your body.

How do you check for heart blockage without angiography?

Nuclear stress test: a radioactive dye or tracer can be injected into your bloodstream and then watched with a special camera while you are on the treadmill. The dye will slow down or move differently as it passes through narrowed or blocked arteries.

How much is a CT heart scan?

For patients not covered by health insurance, the typical cost of a calcium scoring heart CT scan is $50 to $350, while the typical cost of CT angiography ranges from $500 to $1,000.

Why do I need a heart scan?

ANSWER: A heart scan is used to check for calcium in the lining of the heart's arteries — an early sign of heart disease. Typically, the test is most useful in men between 50 to 60 and women 60 to 70 who may have a moderate risk for heart disease or whose heart disease risk is unclear.

Is a cardiac CT scan the same as an angiogram?

A CT coronary angiogram differs from a standard coronary angiogram. The traditional procedure (non- CT angiogram) uses a flexible tube (catheter) threaded through the groin or arm to the heart or coronary arteries. For those with known coronary artery disease, the traditional approach can also be used as treatment.

What are the symptoms of heart blockage?

What are the symptoms of heart block?

  • Fainting, feeling dizzy.
  • Chest pain.
  • Feeling tired.
  • Shortness of breath.
  • Heart palpitations.
  • Rapid breathing.
  • Nausea.

What are the symptoms of plaque buildup in arteries?

At other times, especially when the artery is blocked by 70% or more, the buildup of arterial plaque may cause symptoms that include:

  • Chest pain.
  • Shortness of breath.
  • Heart palpitations.
  • Weakness or dizziness.
  • Nausea.
  • Sweating.

Can you have good blood pressure and still have clogged arteries?

Although high blood pressure is common, it's not harmless. High blood pressure is a major cause of atherosclerosis, the artery-clogging process that leads to heart attacks and strokes. Blood pressure higher than 130/80 is seen in: 69% of people who have their first heart attack.

Is CT scan more accurate than echocardiogram?

All three imaging modalities are equivalent in terms of diagnostic accuracy.

Does a CT scan show blocked carotid artery?

Usually, it provides a clear enough picture to identify a blockage and determine a treatment plan. But occasionally, other scans such as magnetic resonance imaging (MRI), carotid angiography (a special type of X-ray) or computerized tomography (CT) are also needed.

Can you pass a stress test and still have blockage?

This severe narrowing is what causes the severe chest pain called angina. But normal results from a stress test do not rule out the possibility of a future heart attack. This is because a plaque can still rupture, form clots and block an artery. Heart attacks often result from these smaller blockages that rupture.

How accurate is a coronary CT?

Results: The diagnostic accuracy of CT coronary angiography was evaluated regarding true positive, true negative values. The overall sensitivity and specificity of CT angiography technique was 100% (95% confidence interval [CI]: 39.76%–100%) and 91.30% (95% CI: 79.21%–97.58%).