environmental matters | January 23, 2026

What is the extra tooth called?

If a person has one or more teeth that are additional to these typical sets of teeth, the person is said to have hyperdontia, and the additional teeth are known as supernumerary teeth. Note that it is possible for a person to have a supernumerary tooth without having more than 20 baby teeth or 32 permanent teeth.

Why is there an extra tooth growing?

Hyperdontia may develop due to environmental or genetic factors. In some cases, the cause is unclear. Having extra teeth can be associated with genetic disorders and syndromes, including : Gardner's syndrome.

What is an extra wisdom teeth called?

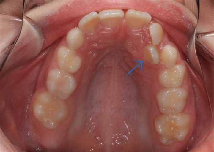
Though rare, extra teeth can develop in the mouth—a condition known as hyperdontia; the extra teeth themselves are called supernumerary teeth.

Why do I have 2 extra teeth?

Two peg-shaped teeth may form behind a child's top incisors. An entire extra mouthful of tooth buds can grow alongside a child's actual teeth. These are examples of a condition called hyperdontia. Whether the extra teeth form near deciduous or permanent teeth, they're called supernumerary teeth.

How common is an extra wisdom tooth?

There are some extreme cases where people have even more. However, these cases are rare and you would be quite unique if you fall into this category. In fact, about one or two people in a hundred have these extra wisdom teeth. Most of the wisdom teeth I saw were twelve in one person.

Hyperdontia: Extra teeth | supernumerary teeth

Should I remove supernumerary teeth?

Do Supernumerary Teeth Need to Be Removed? When supernumerary teeth cause clinical complications, extraction is typically recommended.

How do you get rid of hyperdontia teeth?

If your supernumerary teeth are visible, it may be easy to remove them, just like removing a regular tooth. But if they are covered by something like your gum or by a layer of bone, an oral surgeon will have to lift the gum or remove the bone layer first.

Is extra teeth genetic?

Presence of multiple supernumerary teeth is thought to have genetic component. We report a rare case where multiple supernumerary teeth were seen without presence of any other syndrome in 3 generations; father, son, and two grandsons.

Why is a tooth growing in my gum?

In children, an impacted tooth usually occurs when a baby tooth is lost, but the surrounding teeth are blocking the path for the new tooth to come through the gum. Or, if a baby tooth doesn't fall out when it is supposed to, the permanent tooth may start to shift inside the gum and grow sideways.

What happens if you have an extra tooth?

About Extra Teeth

A mesiodens tooth is an extra (also known as supernumerary) tooth that grows in some children's mouths. This additional tooth most often appears between the top two front teeth and can disrupt your child's bite alignment and the growth of surrounding teeth.

How rare is a double tooth?

Although the prevalence rate is variable in individual reports, the overall prevalence appears to be approximately 0.5% in the deciduous teeth and 0.1% in the permanent dentition.

Is tooth 17 a wisdom tooth?

Number 16: 3rd Molar or wisdom tooth. Number 17: 3rd Molar or wisdom tooth (lower left ) Number 18: 2nd Molar.

Does everyone have 4 wisdom teeth?

Most young adults receive their wisdom teeth between 17-21. The teeth are named wisdom because they appear when young people join college and learn to be independent. Many people will get four wisdom teeth, but it is normal to have less than four or none at all.

Why do I have 5 wisdom teeth?

Wisdom teeth do not grow back after they've been removed. It is possible, however, for someone to have more than the typical four wisdom teeth. These extra teeth, which can erupt after your original wisdom teeth have been extracted, are called supernumerary teeth.

Has anyone had 3 sets of teeth?

At the age of 5, my son Jayan had a routine set of dental X-rays that showed a disturbing fact. The X-rays revealed that he possessed not one, not two, but three sets of front teeth. There were his baby teeth, his permanent teeth and in between, an extra set.

Can humans grow a third set of teeth?

About 20% of the population doesn't have wisdom teeth.” We may never evolve to grow a third set of teeth, but that hasn't stopped scientists from attempting to find a way to replace extracted teeth with new, live replacements.

Can you have 33 teeth?

Hyperdontia is the condition of having supernumerary teeth, or teeth that appear in addition to the regular number of teeth (32 in the average adult). They can appear in any area of the dental arch and can affect any dental organ.

Is hyperdontia serious?

The good news is that hyperdontia can't cause serious problems and it's usually not too painful. Nonetheless, the extra teeth in the mouth can put pressure on a patient's jaw and gums, thus causing them to swell.

Does hyperdontia need surgery?

If extra teeth that have emerged through the gumline and are visible and easily accessible, a simple extraction may be the only treatment required to remove them. If the supernumerary teeth are impacted below the gumline, hyperdontia surgery may be needed to remove them.

Can you fix hyperdontia?

The primary treatment for hyperdontia is extraction. Prior to extraction, X-rays are often taken to assess supernumerary teeth and determine if they are impacted or erupted. If supernumerary teeth are partially or fully erupted, they may easily be extracted.

What is the most common supernumerary tooth?

The conical which is a small peg-shaped tooth is the most common supernumerary found in the permanent dentition and it usually presents between the maxillary central incisors as a mesiodens.

Is wisdom tooth lucky?

A pulled wisdom tooth is a lucky charm. Don't know about the counting of teeth theory but isn't it easy to bring a lucky charm your way – just pull out your wisdom tooth! Another myth associated with wisdom teeth apparently indicates long life, if your wisdom teeth come in late, you will enjoy a long life!

How painful is wisdom teeth removal?

You shouldn't feel any pain as your wisdom teeth are removed because the area will be numb. However, if you do feel pain during the procedure, tell your dentist or oral surgeon so they can give you more anaesthetic. How long it takes to remove the tooth will vary.

What's the oldest age to get wisdom teeth?

Wisdom teeth or third molars (M3s) are the last, most posteriorly placed permanent teeth to erupt. They usually erupt into the mouth between 17 and 25 years of age. They can, however, erupt many years later.

Does everyone have 32 teeth?

Adults have 32 teeth. You should have this full set of adult teeth by your late teens. Adult teeth include incisors, canines, premolars, and molars: 8 incisors.